procedimientos endovasculares que cambian vidas
Te invitamos a conocer la historia de Nahim Castro, de el procedimiento médico que transformó su vida.
Fundación Lenus
Servicios Cardiológicos y Procedimientos Endovasculares
Conoce los servicios que puedes acceder a través de la fundación
servicios de primera a su alcance
Cardiología
Clínica
Médicos especialistas con formación internacional en cardiología y con décadas de experiencia estarán a su disposición para atenderlo en:
Prueba de esfuerzo en cicloergómetro
Monitoreo Ambulatorio de Presión Arterial (MAPA)
Ecocardiograma Transesofágico
Holter de Arritmia

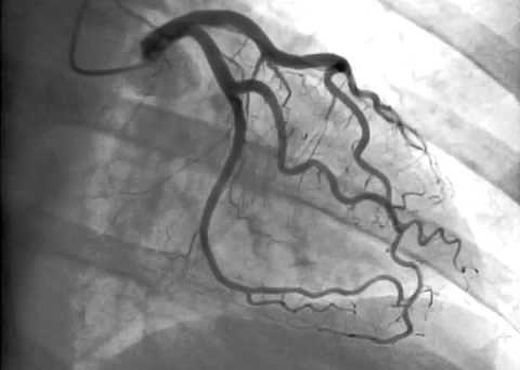
PROCEDIMIENTOS ENDOVASCULARES
EN EL CORAZÓN
A través de estos procedimientos podemos tratar enfermedades de las arterias del corazón, que producen síntomas como angina (dolor en el pecho), disnea o falta de aire intensa y sensación de desmayo.
Estos procedimientos nos permiten mejorar el flujo sanguíneo en arterias coronarias estrechas o bloqueadas.
Procedimientos Endovasculares
EN EL CEREBRO
A través de estos procedimientos tratamos enfermedades de las arterias del cerebro, tales como: aneurismas cerebrales y malformaciones arteriovenosas (MAV’s).


Procedimientos endovasculares
en los miembros inferiores y superiores
Este procedimiento se realiza para evitar posibles amputaciones en pacientes diabéticos. Se recurre a la angioplastía de miembros inferiores/superiores cuando hay dolor durante el reposo, hay gangrena o se presenta arteriosclerosis.
Muchas personas ya han confiado en nosotros
Instituciones Aliadas
Estas son las instituciones que apoyan nuestra misión





